LBC (Liquid-Based Cytology) 검사와 기존의 Pap Smear는 자궁 경부암을 선별하고 비정상적인 세포 변화를 감지하는 데 사용되는 중요한 진단 도구입니다. 유사한 목표를 공유하지만 샘플 수집, 처리 및 진단 정확도의 방법은 크게 다릅니다. 이 비교는 각 기술의 강점과 약점을 탐구하여 샘플 보존, 진단 민감도 및 접근성과 같은 요소를 강조하여 의료 제공자가 둘 중 하나를 선택할 때 정보에 입각 한 결정을 내릴 수 있도록 도와줍니다.
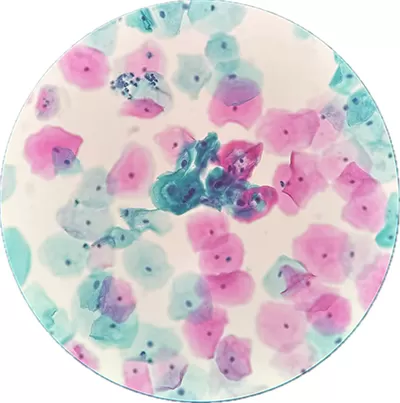
LBC 테스트 (액체 기반 세포학 테스트) 는 세포의 현미경 검사에 사용되는 고급 실험실 기술입니다. 기존의 방법과 달리 수집 된 세포를 액체 배지에 매달아 파편을 제거하고 세포 무결성을 보존하는 데 도움이됩니다. 이 방법은 샘플 품질을 향상시키고 오염을 줄이며 진단 정확도를 향상시킵니다.
자동화된 가공을 이용함으로써, LBC 시험은 보다 균일하고 농축된 세포 샘플을 보장하여, 현미경 분석을 보다 효율적이고 신뢰할 수 있게 한다. 부적절한 표본의 위험을 최소화하여보다 일관되고 재현 가능한 결과를 가져옵니다. 또한 액체 기반 제제는 보조 테스트를 통해 실험실 워크 플로우 및 효율성을 최적화합니다.
향상된 민감도와 특이성으로 LBC 테스트는보다 정확하고 신뢰할 수있는 세포 분석을 지원하는 세포 학적 검사의 상당한 발전을 나타냅니다. 그것의 광범위한 채택은 세포 이상을 감지하는 데 향상된 정밀도를 제공하는 현대 진단 기술의 진화에 기여했습니다.

Pap 테스트라고도하는 자궁 경부 도말 검사는 자궁 경부에서 수집 된 세포를 검사하는 데 사용되는 실험실 절차입니다. 초기 단계에서 세포 변화, 이상 및 잠재적 인 건강 위험을 감지하도록 설계되었습니다.
테스트 중에 브러시 또는 주걱을 사용하여 작은 자궁 경부 세포 샘플을 수집 한 다음 유리 슬라이드에 퍼지거나 현미경 분석을 위해 액체 배지에 현탁됩니다. 이 과정은 불규칙한 세포 성장을 확인하여 적시에 의료 평가를 보장합니다.
Pap 스미어는 세포 변화를 감지하는 데있어 신뢰성으로 알려진 일상적이고 필수적인 테스트입니다. 일반적으로 일상적인 건강 검진 중에 수행되는 간단하고 빠르며 최소 침습적 인 절차입니다. 세포 건강에 대한 귀중한 통찰력을 제공함으로써 자궁 경부 검사는 진단 세포학에서 중요한 역할을하여 필요한 경우 조기 발견 및 추가 의료 평가에 기여합니다.

1. 샘플 수집 및 준비
액체 기반 세포학 (LBC): 브러시 또는 주걱을 사용하여 자궁경부로부터 세포를 수집하고 액체 용액에 넣었다. 이 방법은 세포가 현탁되어 건조되는 것을 방지합니다. 액체 배지는 혈액, 점액 및 기타 오염 물질을 제거하여 최고 품질의 세포 만 분석하여 전체 샘플 품질을 향상시킵니다. 그런 다음 샘플을 처리하여 검사를 위해 균일하고 균일 한 세포 층을 생성합니다.
종래의 Pap Smear 방법에서, 세포는 자궁경부에서 직접 긁어내어 유리 슬라이드에 퍼진다. 그런 다음 샘플을 공기 건조시켜 세포 왜곡 또는 손실을 초래할 수 있습니다. 혈액, 점액 또는 기타 잔해가 샘플을 가려 병리학자가 평가하기가 더 어려워 질 수 있습니다. 이 과정은 덜 일관된 세포 분포를 초래하여 부정확한 결과 또는 잘못된 음성의 위험을 증가시킬 수 있습니다.
2. 진단 정확도 및 감도
사용액체 기반 세포학 장비향상된 샘플 준비로 인해 더 정확합니다. 액체 배지는 최상의 세포만을 보존하고 분석하여 비정상 세포의 검출을 향상시키고 거짓 음성의 발생을 감소시킵니다. 이 방법의 높은 민감도와 정밀도는 또한 자궁 경부암으로 이어질 수있는 HPV와 같은 초기 단계 이상 및 감염을 식별하는 데 더 적합합니다.
부적절한 샘플 수집, 고르지 않은 슬라이드 준비 및 셀 중첩 또는 건조 가능성으로 인해 기존 Pap 스미어의 정확도가 손상 될 수 있습니다. 이것은 비정상적인 세포가 누락 된 거짓 네거티브의 가능성을 증가시킬 수 있습니다. 또한, 수동 프로세스는 인적 오류로 이어질 수 있습니다 iN 해석 결과, LBC에 비해 진단 정확도 감소.
3. 샘플 보존 및 오염
LBC의 주요 장점 중 하나는 운송 및 처리 중에 세포 무결성을 보존하는 능력입니다. 액체 배지는 세포를 자연 상태로 유지시켜 혈액, 점액 또는 기타 이물질에 의한 오염 위험을 줄입니다. 이 보존은 병리학자가 분석을 위해 더 명확하고 정확한 샘플을받을 수 있도록하여 테스트의 전반적인 진단 신뢰성을 향상시킵니다.
기존의 Pap 스미어에서의 샘플 보존은 문제가 발생하기 쉽습니다. 세포는 슬라이드에 직접 퍼지고 빠르게 건조되어 잠재적 인 왜곡을 초래할 수 있습니다. 또한 혈액, 점액 또는 심지어 박테리아로 인한 오염은 세포를 모호하게 할 수 있으므로 이상을 적절하게 평가하기가 어렵습니다. 보존 매체의 부족은 시간에 따른 샘플의 품질을 감소시킨다.
4. 가공 및 테스트의 효율성
액체 기반 세포 기계더 큰 자동화로 실험실 프로세스를 간소화합니다. 액체 서스펜션은 취급 및 가공을 용이하게하여 수동 슬라이드 준비에 소요되는 시간을 줄입니다. 이 방법은 별도의 샘플을 수집할 필요 없이 HPV 스크리닝 또는 다른 분자 분석과 같은 추가 테스트에 동일한 샘플을 사용할 수 있기 때문에 더욱 효율적이다. 이로 인해 더 빠른 처리 시간과 더 포괄적 인 테스트가 이루어집니다.
종래의 방법은 시간 소모적이고 노동 집약적일 수 있는 수동 슬라이드 준비를 필요로 한다. 각 샘플은 개별적으로 처리해야하며 준비 과정에서 인적 오류의 위험이 더 높습니다. 추가 테스트가 필요한 경우 (예: HPV에 대해) 별도의 샘플을 수집하여 전체 진단 프로세스에 시간과 복잡성을 추가해야합니다. 이러한 비효율은 결과를 지연시키고 부정확성에 대한 가능성을 증가시킬 수 있다.
5. 비용 및 접근성
LBC는 일반적으로 더 정확하고 효율적인 것으로 간주되지만, 관련된 특수 장비, 가공 기술 및 시약으로 인해 더 비싼 경향이 있습니다. 또한 고급 실험실 인프라의 필요성으로 인해 리소스 제한 설정에서 액세스 할 수 없게 될 수 있습니다. 더 높은 비용에도 불구하고, 향상된 진단 정확도는 특히 정밀도가 초기 질병 발견의 우선 순위 인 개발 된 의료 시스템에 대한 투자를 정당화합니다.
종래의 자궁 경부 도미는 일반적으로 특히 의료 자원이 제한된 지역에서 덜 비싸고 더 널리 이용 가능하다. 고급 기술이나 장비가 필요하지 않으므로 일상적인 검사를위한 비용 효율적인 옵션입니다. 그러나, 더 낮은 비용은 진단 민감도 및 정확도를 희생하여, 환자에 대한 더 높은 추적률을 초래할 수 있다. 이것은 추가 테스트를 필요로함으로써 의료 비용의 초기 절약을 상쇄 할 수 있습니다.
6. 결과를 위한 턴어라운드 시간
LBC는 일반적으로 준비 및 분석과 관련된 간소화 된 처리 및 자동화로 인해 결과에 대한 더 빠른 처리 시간을 제공합니다. 샘플의 균일 성 및 고급 장비의 사용은 실험실이 더 많은 샘플을 효율적으로 처리 할 수있게하여 지연을 줄입니다. 경우에 따라 동일한 샘플을 여러 테스트에 사용하여 진단 프로세스의 속도를 높이고 포괄적 인 결과를 더 빠르게 제공 할 수 있습니다.
종래의 Pap 스미어들의 턴어라운드 시간은 수동 준비 공정으로 인해 더 길어질 수 있고, 샘플이 부적절한 경우 재작업의 필요성이다. 초기 준비가 만족스럽지 않으면 슬라이드를 다시 구입해야 할 수 있습니다. 샘플 수집 및 슬라이드 준비 중에 사람의 개입에 의존하면 오류가 발생할 가능성이 높아져 실험실에서 정확성을 보장하기 위해 테스트를 반복해야 할 수 있으므로 결과가 지연 될 수 있습니다.
7. 인간의 오류 및 해석 결과
LBC는 준비 과정의 많은 부분을 자동화하여 인적 오류의 가능성을 줄입니다. 샘플 수집 및 처리 단계에서 변수가 적기 때문에 병리학 자는보다 일관된 고품질 슬라이드를받습니다. 또한, 세포의 균일 한 분포는 더 정확하고 일관된 해석을 허용하여 진단 과정에서 오해 또는 누락 된 이상을 초래합니다.
기존의 Pap 스미어에는 슬라이드에 샘플을 퍼뜨리고 건조하는 것과 같은 더 많은 수동 단계가 포함되기 때문에 사람의 오류 가능성이 높아집니다. 예를 들어, 제대로 준비되지 않은 슬라이드는 잘못된 해석을 초래하거나 이상을 놓칠 수 있습니다. 병리학 자들은 세포가 고르지 않으면 특정 유형의 이상을 구별하기가 더 어려울 수 있습니다.궁극적으로 진단 정확도에 영향을 미치는 오염 물질에 의해 분산되거나 가려집니다.
| 기능 | 액체 기반 세포학 (LBC) | 기존의 Pap Smear |
| 샘플 컬렉션 | 건조 및 오염을 방지하기 위해 액체에 배치 된 세포. | 세포가 슬라이드에 퍼지고 건조되어 고르지 않을 수 있습니다. |
| 정확도 | 더 정확하고 더 적은 거짓 부정. | 덜 정확하고 누락 된 이상 가능성이 높습니다. |
| 샘플 보존 | 액체는 세포를 온전하고 깨끗하게 유지합니다. | 세포는 말라서 오염될 수 있다. |
| 처리 | 자동화되고 빠르며 추가 테스트 (예: HPV) 를 허용합니다. | 수동, 느린 추가 테스트에는 새로운 샘플이 필요합니다. |
| 비용 | 더 비싸고 특수 장비가 필요합니다. | 더 싸고, 널리 이용 가능. |
| 턴어라운드 시간 | 자동화로 인해 더 빠릅니다. | 수동 단계로 인해 느려집니다. |
| 인간의 오류 | 덜 오류, 일관된 결과. | 수동 취급으로 인한 더 많은 오류. |
액체 기반 세포학 (LBC) 은 자궁 경부에서 비정상 또는 전암 세포를 검출하기 위해 자궁 경부암 스크리닝에 널리 사용됩니다. 액체 배지에 세포를 매달아 오염을 줄이고 샘플 품질을 개선하여 Pap 테스트의 정확성을 향상시킵니다. 또한 LBC는 HPV 검사에 필수적이며 자궁 경부암으로 이어질 수있는 고위험 바이러스 균주를 식별하는 데 도움이되므로 조기 발견 및 예방을위한 중요한 도구입니다.
자궁 경부 검진 외에도 LBC는 다양한 부인과 및 비 부인과 상태를 진단하는 데 사용됩니다. 방광암 검진을위한 소변 세포학 및 폐암 검출을위한 호흡기 세포학과 같은 체액에서 암성 또는 비정상 세포를 감지하는 데 도움이됩니다. 또한 LBC는 폐 감염 진단에 사용되며, 현미경 검사를 위해 더 명확하고 신뢰할 수있는 샘플을 제공하여 검사 결과의 전체 정확성을 개선함으로써 폐 감염 및 악성 종양의 식별을 향상시킵니다.
LBC는 또한 감염성 질병을 확인하고 미세 바늘 흡인 (FNA) 샘플을 분석하는 데 유용합니다. 세포를 효과적으로 보존하는 능력은 다른 조직에서 박테리아, 바이러스 및 곰팡이 감염을 진단하는 데 유용합니다. 또한 유방 덩어리와 갑상선 결절에서 FNA 샘플을 평가하는 데 중요한 역할을하여 조기 암 발견을 돕습니다. 개선된 샘플 품질 및 감소된 오염 위험성은 LBC를 현대 세포학적 시험에서 바람직한 방법으로 만든다.

액체 기반 세포학 (LBC) 과 기존의 Pap Smear 중에서 선택하는 것은 진단 정확성, 의료 인프라 및 비용 고려 사항을 포함한 여러 요인에 따라 다릅니다. LBC는 고감도, 정확한 결과 및 HPV 스크리닝과 같은 추가 테스트를 수행하는 능력이 중요한 설정에서 선호됩니다. 더 효율적이고 정확하여 잘못된 네거티브의 가능성을 줄입니다. 다른 한편으로, 종래의 Pap 스미어들은 그들의 낮은 비용 및 광범위한 이용가능성 때문에 제한된 자원을 갖는 영역에서 선택될 수 있다. 이 결정은 종종 의료 요구, 예산 제약 및 고급 실험실 시설에 대한 접근의 균형을 유지합니다.